
Wait, What’s That Spot?
Ever had that moment where you’re happily brushing away, singing along in your head, then suddenly… you glance in the mirror and spot a tiny, dark mark on your gums? Happens to the best of us—I’m not kidding. I remember the first time it happened to me, I leaned closer, squinted, and thought, “is that a poppy seed stuck there… or something worse?” It’s a weird mix of panic and curiosity, right?
Look, gums aren’t supposed to look like a sprinkled donut. When you see a black spot, your mind might race to the worst-case scenario: oral cancer. But breathe—let’s walk through this together. Not every dark spot is a cause for alarm, but when it is something serious, spotting it early really matters.
Is It Really Something to Worry About?
Harmless or… Huge Deal?
So, what causes a black spot on your gums? It’s not always cancer. Seriously, most of the time it’s something much less dramatic. It could be a bruise—yep, your gums can get those too if you brush too aggressively or even bite down weirdly on a chip. According to research on black gums, bruises will usually fade on their own.
Another not-so-scary culprit: the so-called “amalgam tattoo”. No wild story here—just a bit of silver filling material that found a new home in your gums after dental work. Weird, but harmless, according to dental experts at AMBA.
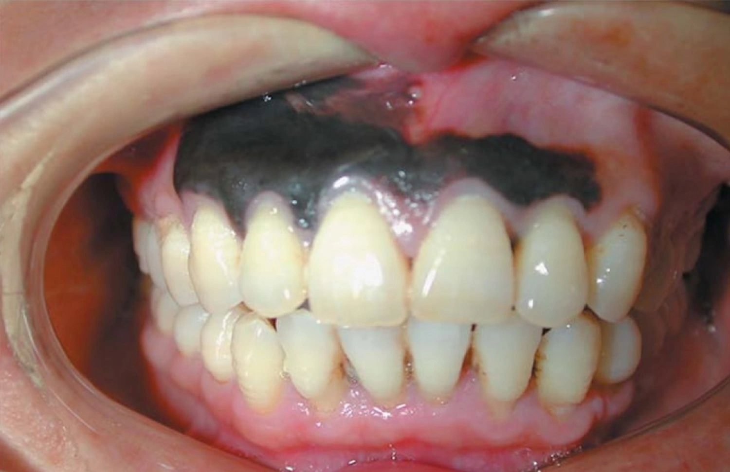
But sometimes… a black spot isn’t so innocent. Oral cancer can show up as a dark (even black) patch, especially if it’s growing, changing shape, or joined by other uninvited guests like sores, bleeding, or swelling in your mouth. That’s where those oral cancer black spot on gums photos come in handy: they show you what real warning signs can look like, including the sneaky, subtle ones you might miss.
An Example from Real Life
Alright, story time—because this stuff feels more real when it actually happens to someone. My neighbor, Tom, noticed a little black patch on his gum. He shrugged it off, blamed his coffee habit… and didn’t mention it at his next cleaning. Months later, it got bigger. His dentist sent him straight to a specialist, and it turned out to be early-stage gum cancer. Quick treatment, good outcome—but he always says he wishes he’d called sooner. It’s amazing how fast “no big deal” can change if you’re unlucky.
Spotting the Difference—Cancer or Not?
How Can You Tell?
So, let’s really get into what a cancerous spot might look like… and what’s probably no big deal. Here’s a quick cheat-sheet you can revisit whenever you play detective in your own mouth. For visuals, take a peek at those Gum cancer pictures. Seeing actual examples is way more helpful than guessing.
| Sign | Harmless (Most Likely) | Potential Oral Cancer |
|---|---|---|
| Shape/Edges | Even, round, regular border | Jagged, irregular, or spreading edges |
| Duration | Heals up in days or weeks | Sticks around 2+ weeks, or gets bigger over time |
| Symptoms | Pain from trauma, goes away | Painless at first, bleeding, numbness, swelling, or a sore that won’t heal |
| Color | Stable color, fades away | Darkening or spreading spots |
Something look off? If you want to compare your own mouth to what doctors see every day, check out Mouth cancer pictures early stages. You’ll notice that cancer sneaks up quietly—most patients feel totally fine at first. But those persistent patches? Not your friend.
Quick, Honest Reality Check
This part is so important: Only a dentist or doctor can tell you for sure what’s going on. If a spot’s hanging around, changing, or making you uncomfortable—get it checked. Early action saves lives. Don’t Google-diagnose yourself into oblivion. (Says the person who, admittedly, still looks up every little thing and spirals into six hypothetical diseases… anyone else?)
Oral Cancer Black Spot on Gums Photos: What Do They Really Show?
The Many Faces of Trouble (and Not-Trouble)
So you’re scrolling through oral cancer black spot on gums photos. Some look truly scary—big, irregular dark splotches, raised bumps, or rough-looking patches. Others are… kind of boring. Just a tiny dark dot with nothing special about it. This is the kicker—mouth cancer can show up in lots of ways. Sometimes it’s a bleeding sore, sometimes it’s a sneaky spot that just won’t leave. Want a better picture (pun intended)? Head over to Gum cancer pictures and compare. You’ll find everything from mild oddities to obvious red flags.
According to recent research on oral cancer symptoms by the Mayo Clinic and Healthline, here’s what you might see:
- Black or dark brown spots—sometimes obvious, sometimes just a hint darker than the rest of your gum
- Red or white patches mixed in
- Painless lumps or thick, rough areas
- Unusual lumps on your gums or lips
- Sores that don’t heal for weeks, or never heal at all
Sometimes, the earliest warning sign is a spot that doesn’t look or feel like much. “Oh, maybe I burned my mouth again,” you tell yourself. Next week—it’s still there. Next month, maybe it’s a bit bigger, or there’s a little tingle.
Have You Noticed Any of These?
If you see anything new or odd (even if it’s not pitch-black), grab your phone and snap a pic. Then check those Mouth cancer pictures early stages for comparison. But remember: your mouth’s unique! Even if your spot doesn’t match any photos, anything that lingers should be looked at by a pro.
What Happens If You Ignore It?
The Wait-and-See Gamble
I’m not here to scare anyone (seriously, I’m the queen of downplaying symptoms), but ignoring a weird spot on your gums can let something small turn into something big. If it is oral cancer, the sooner you get it checked, the easier and less invasive the treatment will be according to NHS mouth cancer experts.
Every time you think “I’ll just wait and see if it goes away”—trust me, I’ve done it—it buys more time for whatever’s causing that spot, good or bad. And sometimes, oral cancer doesn’t send a memo before spreading to other tissues the Cleveland Clinic notes. Then you’re facing bigger, riskier treatments… stuff no one wants to deal with.
Gum cancer in particular is sneaky—sometimes starting as just a weird patch, then quietly getting bigger, or even making teeth loose or swallowing tougher MD Anderson clinicians warn.
A Real-Life Scenario
Imagine this: You notice a small dark dot, figure it’s nothing, tell yourself it’ll heal up. Weeks later, it’s still there, maybe a little tender now. Another month, and it feels rough, or bleeds when you floss. Yikes—now you’re facing scans and biopsies, wishing you’d acted when it was just a weird little spot.
Why (and How) to Check Yourself
Your Action Plan: Easy as 1-2-3
So, what’s the move? Simple: get into the habit of checking your gums and mouth when you brush or floss. You don’t have to start a logbook or anything (unless you’re a spreadsheet nerd like me), but have a quick glance for new spots, lumps, or color changes.
- Use a mirror and good lighting, maybe even the flashlight on your phone
- If you see a spot, use your phone to snap a pic (makes it easier to compare by the week)
- Compare to those Gum cancer pictures for context
- If it gets bigger, bleeds, or just won’t fade—book an appointment with your dentist or doctor
Your dentist is your ally. They look for this stuff every time you’re in the chair—even if they don’t mention it. And if something’s up, they can do a biopsy or send you to a specialist. Maybe it’s nothing… but if it’s something, you’ll want to know now, not later.
What Bumps Up Your Risk?
The Usual Suspects—and Surprises
You’ve heard them before, but here’s the deal: Smoking, chewing tobacco, and heavy alcohol use are the top baddies when it comes to oral cancer. It’s like they invite those dark spots to stick around. But get this—a good chunk of cases happen in people who never touch tobacco or drink lightly. Viruses like HPV can play a part, too.
Also, a diet low in fruits and veggies… or just plain old unlucky genes.
- Quit (or cut back on) smoking or tobacco
- Moderate drinking
- Eat a rainbow of healthy stuff—you know you should anyway!
- Don’t skip your dental check-ups, even if you’re busy (trust me, everyone is)
So, What If It Is Oral Cancer?
What to Expect, What to Do
Let’s say the worst happens. If your spot turns out to be oral cancer, the earlier it’s found, the simpler the fix. Small spots? Those can often be removed quickly, sometimes just in the dentist’s office. Waiting too long can mean bigger surgeries or treatments like radiation. Again, most gum cancers are caught and cured in the early stages, but only if you’re looking for them according to cancer experts.
This is your friendly nudge: Get checked when in doubt. Even if you’re just a little bit worried, do it for peace of mind. Plus, it beats spending every night asking Google, “what if it’s cancer?” until 2AM.
Wrapping Up—Let’s Keep That Smile Safe
Phew, we’ve covered a lot—black spots, harmless tattoos, oral cancer black spot on gums photos, and what to do next. Here’s the bottom line: Most mouth spots are nothing to lose sleep over… but play it safe. If it’s new, changing, or just weird, ask a pro. You’ve got this—and your future self (and smile) will thank you.
Cancer isn’t trying to book an appointment in your calendar, but you can beat it to the punch by just looking inside your mouth every so often, using those handy Mouth cancer pictures early stages as a quick reality check, and never being afraid to ask for help. Got a friend who avoids the dentist like the plague? Share this article—and maybe send a nudge to schedule their checkup, too. It’s a small step that could mean everything.
So… what are you waiting for? Go on, check your gums tonight. You just might thank yourself later!





















Leave a Reply
You must be logged in to post a comment.