:max_bytes(150000):strip_icc()/overview-of-strep-throat-1191987_final-21489a625c774930abb4a3c12e13b0a6.png)
Did You Just Notice This?
Have you ever been brushing your teeth… and suddenly, there they are? Little red spots on the roof of your mouth, lurking like a weird rash where you never look. Or maybe you’re just minding your business, biting into a too-hot slice of pizza (I mean, who waits for it to cool, really?), and later your tongue finds a bumpy patch up top. Relatable? Because I’ve been there, and honestly, my first reaction was: “Wow, I’m dying.” Spoiler: I wasn’t.
But here’s the thing—sometimes those red dots are nothing, but sometimes, your mouth is basically waving a tiny flag for help. Should you freak out? Nah, let’s talk about it. I’ll give you the real scoop, like a friend who’s obsessively Googled this stuff so you don’t have to.
Everyday Stuff: Oops Moments and Minor Mishaps
Did You Burn, Bite, or Bonk?
Red spots on your palate? Sometimes it’s the most boring story ever—a quick burn from hot drinks, a pointy chip scratch, or even a toothbrush that got a little aggressive. Yep, physical mishaps are the top offenders when it comes to red dots up there.
I still remember nearly taking my own head off with popcorn kernels as a teen—chewed so hard, I felt what I thought was a “bonus crouton” up top. Spoiler: It was just a sore. Classic rookie move.
How Long ‘Til It’s Gone?
Most of these heal up in a week or so. If you’re nosy (like me), you can compare yours to Red spots on roof of mouth pictures just to reassure yourself. If the spot isn’t budging in 2 weeks, though… that’s when you check in with a pro for peace of mind.
When Germs Crash the Party
When a Sore Throat Is More Than a Sore Throat
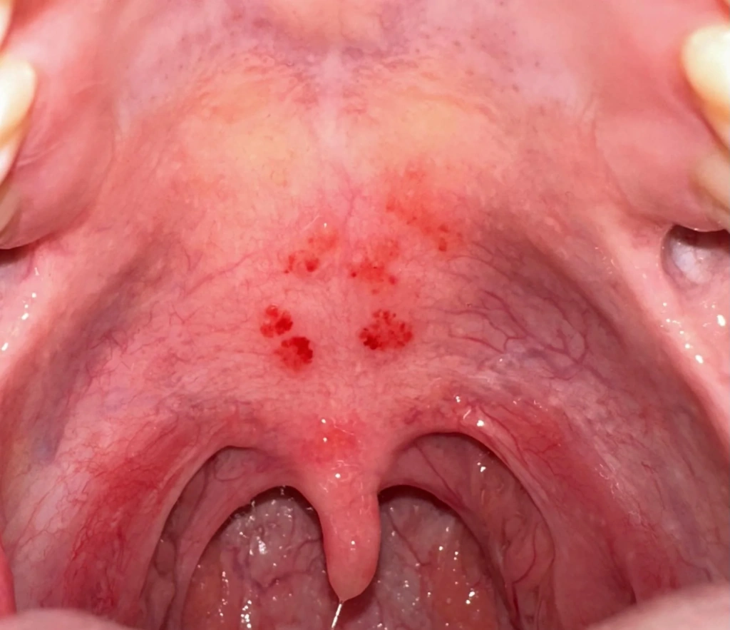
Here’s where it gets juicy. Let’s talk about strep. You know, the classic bug behind so many panicked parent phone calls? With strep, those tiny red dots are more than an inconvenience—they’re called petechiae and can show up on the back of the soft or hard palate according to Medical News Today.
If your kid (or you) has a fever, sore throat that makes every swallow feel like sandpaper, swollen neck glands, and those little red “doughnut” spots—bingo, you might be looking at strep as outlined by Cleveland Clinic. Don’t mess with it—antibiotics needed, stat!
Side note: If you’re a parent and you see night fevers with strange spots, dive into Red spots roof of mouth child. It’s packed with info just for you.
Real-Life Panic (And What Happened Next)
Confession—my nephew once had this wild rainbow of sore throat symptoms: spiking a fever, little dots on the roof of his mouth, totally miserable. Immediate meltdown. Turned out: strep. Couple of days on antibiotics, he’s back to eating spaghetti and driving everyone nuts in record time. So yeah, red spots? Don’t ignore, but don’t lose sleep until you’ve chatted with a doctor.
| Red Spots Type | What They Look Like | Common in Children? | What To Do |
|---|---|---|---|
| Strep Petechiae | Tiny, red, sometimes ringed | Yes! | See a doctor, antibiotics |
| Burn/Trauma | Flat, red, near teeth or palate | Not always | Wait, gentle foods, see if heals in 7–10 days |
| Canker Sore | Red ring, white center | Kids & adults | OTC pain gel, avoid acid/spice |
Viruses on the Move: Not Just a Cold
Hand-Foot-Mouth Disease and Herpes (Yikes)
Not fun to talk about, but both kids and adults can get viral infections like Coxsackie virus (a.k.a. hand, foot, and mouth disease) or even oral herpes. Coxsackie loves to turn the whole mouth (not just the roof) into a sore, red playground. Hands and feet get spots too—bonus level unlocked.
Herpes sounds scary but usually just leaves a handful of small, red blisters or sores that may merge into bigger, uglier spots. Both types make eating a slice of citrus feel like torture. Thankfully, most viral mouth issues go away on their own. Just, uh, try to keep your juice boxes at arm’s length until you’re healed.
And for those with little ones—again, check Red spots roof of mouth child before spiraling into worry. It helps.
Candidiasis—The Sneaky Fungus Among Us
Now let’s drop the word “fungus” in a friendly blog post! Oral thrush (candidiasis) is a yeast party—happens if you’re on antibiotics, have diabetes, or wear dentures a lot according to oral health sources.
If your palate suddenly looks like it’s getting spots that are red and have a milky-white film, it’s possible this is the culprit. If regular brushing and a switch to gentle, bland foods isn’t helping, a doctor or dentist can recommend an antifungal mouthwash.
I’ll admit—I knew none of this until my aunt got thrush after her third round of antibiotics. Mouth felt gross, food tasted weird, and she basically survived on applesauce until it passed. Point is? The mouth is a weird, wonderful, sensitive place.
Outliers: Allergies, Blood Issues, Weird Surprises
Could It Be Just An Allergy?
Sometimes your mouth rebels because of a new toothpaste, weird snack, or spicy food marathon. Allergic reactions can leave palates looking like a topographic map—red, bumpy, swollen. If you recently switched oral care products or nibbled something new, consider a little food detective work before panicking.
Bonus tip: If the reaction’s mild, rinsing with water (not mouthwash, which might burn!) can calm things down.
Blood Disorders—Rare But Real
This one’s not to scare you, but stuff like mononucleosis, blood platelet problems, or other illnesses can sometimes cause mouth “petechiae”—those tiny red pinprick dots as documented by Merck Manuals. If you have red spots that show up with other symptoms (recurring fevers, fatigue, random bruising), ring your doctor.
Can It Ever Be Serious? (Cancer Talk, But Don’t Skim!)
Very rarely, persistent red, velvety patches (erythroplakia) on the palate can be precancerous. Smokers, heavy drinkers—this one’s especially for you. If you’ve got a patch that lingers more than two weeks, or it bleeds or feels thick, get it checked. Mouth cancers can sneak up, but catching them early actually saves a ton of hassle (and, you know, lives).
The Red spots on roof of mouth pictures might help you compare and see if yours matches one of the less worrisome examples. But seriously—when in doubt, check it out.
Are There Easy Fixes?
What To Do (And Not Do) At Home
Okay, you’ve got red spots on your mouth roof. First: don’t panic. Second: try the basics. Skip the spicy salsa for a bit, eat softer foods (any excuse for pudding, right?), and rinse with salt water.
If it hurts, over-the-counter gels (think benzocaine or similar) work magic for canker sores. Just, uh, don’t go overboard with numbing everything—you still have to eat.
If your child is dealing with this, hand-holding, cold yogurts, and gentle encouragement do wonders (and Red spots roof of mouth child is loaded with real-world parent tips).
Summary Table for Home Care
| Cause | Home Solution | When To Worry |
|---|---|---|
| Burn/Scratch | Soft food, avoid heat/spice, saltwater rinse | Not better in 2 weeks |
| Strep/Sore throat | See doc for test & meds | Fever, spots + severe pain |
| Canker Sore | Topical pain gel, avoid triggers | Growing, lasting over 2 weeks |
| Thrush | Antifungal if needed, see doc | Worsens, spreads, impacts eating |
So, Should You See Someone?
Here’s my honest friend-to-friend answer: Watch for these red flags—
- Spots last longer than two weeks
- They get bigger, bleed, feel hard or thick
- You’ve got crazy fever, bad sore throat, or swelling
- Other weird stuff (rash, tummy ache, fatigue) pops up
If it’s just a tiny spot after a pizza party… chill. If other issues roll in, or it just won’t heal, call your dentist or doctor for a quick “what’s up?”
The main keyword (yeah, red spots on roof of mouth) is there for a reason. And hey—if you want extra reassurance, browse through a few Red spots on roof of mouth pictures or check expert articles for peace of mind.
Need info for your little one? Explore all the details on Red spots roof of mouth child before you worry yourself to pieces.
Let’s Wrap This Up (You’ve Got This!)
Look, I know Googling mouth symptoms at 2am can make anyone a hypochondriac (I’m there too, sometimes), but usually these spots—especially when it’s just one or two after a minor mishap—aren’t a big deal. Keep an eye on things, treat yourself kindly, and if the weirdness sticks around, don’t hesitate to pick up the phone and get a professional opinion. Mouths are resilient, but sometimes they speak up when something’s off. And that’s your cue to listen.
If you’ve dealt with this before, I want to hear: What surprised you most? How’d you move through it? Drop your story below or share with a friend who needs to see this. Here’s to happier, healthier, and way less stressful days—mouth and all. Stay curious (and maybe let your coffee cool off next time!).
























Leave a Reply
You must be logged in to post a comment.